Cabinet dentaire du Dr Eric MAUJEAN
Chirurgien-Dentiste à TOURNAN EN BRIE
ACCUEIL
LE CABINET
PLAN D'ACCÈS
URGENCES
VIDÉOS PÉDAGOGIQUES
FICHES CONSEILS
CONTACT
PRENDRE RDV
15 rue des Frères Vinot, 77220 TOURNAN EN BRIE
+33 1 64 07 08 13
Cabinet dentaire du Dr Eric MAUJEAN
Chirurgien-Dentiste à TOURNAN EN BRIE
ACCUEIL
LE CABINET
PLAN D'ACCÈS
URGENCES
VIDÉOS PÉDAGOGIQUES
FICHES CONSEILS
CONTACT
PRENDRE RDV
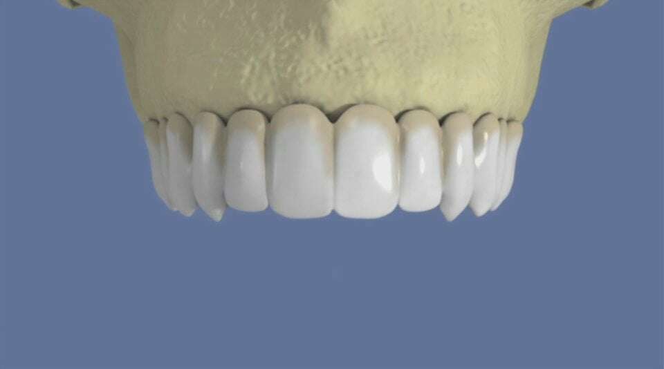
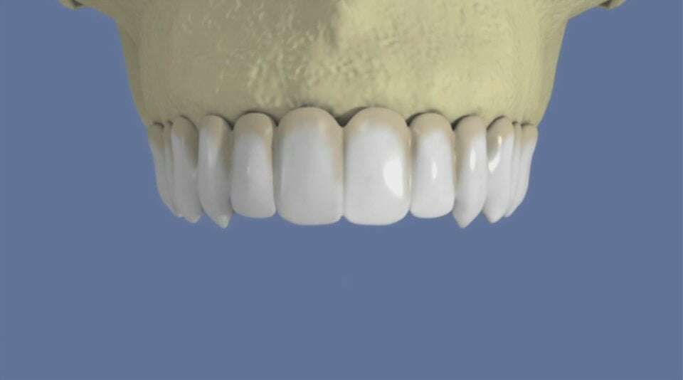
Maxillaire : bridge vissé sans fausse gencive
Vidéos 3D
Partager
Twitter
Partager
Partager
Envoyer
Copier
Cabinet dentaire du Dr Eric MAUJEAN
15 rue des Frères Vinot
77220
TOURNAN EN BRIE
+33 1 64 07 08 13
Politique de confidentialité et charte cookie
Mentions légales
Conditions Générales Utilisation
Charte déontologique
Ordre national
Annuaires chirurgiens dentistes
Création par
Connexion